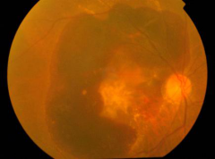
黄斑裂孔早期及时手术,可减少视力严重受损的发生
珠海希玛林顺潮眼科医院通过光学相干断层扫描对黄斑裂孔进行诊断,可以准确量度裂孔的大小以及位置等,帮助患者及早诊断黄斑裂孔及其严重程度,从而制定合理的治疗方案。...
02-07OK镜戴久了角膜会变薄吗?
珠海希玛林顺潮眼科医院验配角膜塑形镜由专业主治医生和视光师严格操作电脑验光、散瞳、角膜地形图等十多项医学验光检查,保障角膜健康及塑形效果的稳定性与持久性。严格筛选...
02-07
葡萄膜炎分“前后”,易与结膜炎混淆的是前葡萄膜炎
有些人眼睛一红就以为是结膜炎,不太当回事,认为上药店随便买点眼药水滴一滴就好了。但你有没有想过,眼睛发红并非结膜炎独有的症状,很多眼病都可能导致眼红,比如葡萄膜炎...
02-07
泪囊炎的症状有哪些?是什么原因导致泪囊炎呢?
泪囊炎这种疾病,我们在平时生活当中很少听说,对这种疾病了解的不是很多。那么,泪囊炎的症状有哪些呢?是什么原因导致泪囊炎呢?接下来,大家就跟小秘一起来了解一下泪囊炎。...
02-05
珠海人们注意了先天性青光眼虽不多见,但孩子眼睛大又圆可得警惕
先天性青光眼治疗:手术为主,药物为辅.虽说治疗方式有两种,但根据临床案例来看,只有小部份先天性青光眼使用药物可以控制病情,若药物控制无效时,仍需要手术;而且大部份先天...
02-05
“OK”镜可延缓近视加深,但要佩戴还需符合这些条件
在珠海希玛林顺潮眼科医院,验配角膜塑形镜前会有专业的医生严格把关,严格筛选病人,眼睛条件不适合的坚决不配。验配过程则由希玛视光师严格操作电脑验光、散瞳、角膜地形图...
02-05